Senses and Sense Organs

This pages requires knowledge of the page "Nervous System"
Experiments on Snails' Senses.

A Roman snail is known for its notoriously slow process of movement. That is why the observer might think first Roman snails capable of little evolved sensual skills. This assumption would be wrong. Terrestrial pulmonate snails (Stylommatophora) and among those also the Roman snail, are one of the most highly developed groups among the phylum of molluscs. Their adaptation to life on land could only be so successful (a large part of all snail species lives on land) because next to respiration, reproduction and development also senses and sense organs of terrestrial snails have widely adapted to this new form of life.

Senses or Sense Organs?

Sense organs are organs that are specialised to acquire and process sensual stimuli. The Roman snail only has two kinds of those sense organs in the stricter sense of the word: Eyes at the tip of the longer tentacles and statocysts (see below), fluid-filled capsules near the circumesophageal ring, serving as equilibrium organs. The Roman snail's remaining senses, among them the sense of touch, the chemical senses (the sense of taste and smell), as well as the senses of temperature and humidity, do not work by sensual organs but by single, and rather disperse, sense cells. Those may be concentrated mainly on the head, like fort he senses of smell and taste, or dispersed in various densities, over the whole body surface.

Generally sense organs and sense cells are concentrated near a snail's head, which is also the reason fort he nerve knots or ganglia concentrated in the circumesophageal ring in this part of the snail's body. Especially rich in sense cells are the snail's tentacles. Those serve not only as organs of touch, rather than their name would make think.

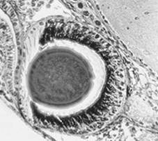
The Sense of Light

Auge der Weinbergschnecke, mikroskopisch.

Auge der Weinbergschnecke, schematisch.
A Roman snail's eye.

The larger tentacles of an edible snail (Helix pomatia) each
carry a highly developed eye. [CK]

The two longer ones of a Roman snail's tentacles at their ends are thickened and each carries one eye. Seen with the naked eye this appears as a simple black spot. But seen with a microscope it becomes obvious that the Roman snail's eye is a quite intricately structured eye. Inside it there is an unstructured light-breaking jelly mass as a lens (L) in a spherical eyeball. The external wall of the tentacle, made of translucent cells, serves as a protective cornea (H).

In the rear and lateral part of the eye there are light sense cells (Sz), so that this part of the eye wall also forms a retina. Pigment cells (Pz) isolate the sense cells against laterally incident light. As there are only two types of sense cells in a Roman snail's retina (in a human eye there are four: Rods and three types of cones) one has to assume Roman snails, by the help of the optical pigment rhodopsin, can only see black and white. The Roman snail eye can see in a wavelength spectrum from 390 to 580 nm with an optimum near 496 nm.

The only molluscs with a fully developed lens eye are the cephalopods. In contrary to those, the Roman snail's eye is generally referred to as a vesicular eye. As it is not that efficient as a fully developed lens eye, Roman snails are probably quite short-sighted.

There are, though, other molluscs with more highly developed organs of sight – cephalopods, like squids and octopuses. Their highly developed lens eyes give them information on light as well as contrast and so a clear picture, in contrary to the more simply built eyes of gastropods.

Other than in a vertebrate's eye, though, the sense cells in an octopus's eye are not inverted from the light. As an octopus's eye develops first from the external body wall into the eye ball, which is later innerved (Nf: Optical nerve) by the brain, the cephalopod's light sense cells point towards the light, not away from it, like a vertebrate's (such as in a human eye).

There are also further light sense cells in a snail's body: They are dispersed over the body surface. This provides the snail with the ability to the so-called shadow reflex: A shadow suddenly falling over the snail will cause it to withdraw into its shell, even if it cannot yet see, what exactly is causing the shadow.

The eyes of snails.

The Sense of Touch

Der Dorn stellt für die Weinbergschnecke kein Hindernis dar.
Sharp or pointed parts of plants, such as this thorn, are not
an obstruction to a snail, easy to negotiate thanks to well
adapted senses. [RN]

All of a snail's body is susceptible to touch, especially so are the tentacles and the remainder of the head. Should the snail touch an obstruction, it will at once withdraw the respective body parts with fast-acting retractor muscles. In the extreme, the main retractor or columellar muscle, can withdraw all of a snail's body into the shell. How well the sense of touch, together with other senses, works in a snail, can be seen, when it crawls over the spiny branch of a wild rose, without hurting itself. Under experimental conditions this can also be simulated by help of a knife blade's edge: First the small tentacles examine the obstruction by touching it, while the eyes on their stalks keep the surrounding vicinity in sight. While the snail crawls over the obstruction, the foot sole keeps feeling the surface and adapts to its form.

The Sense of Equilibrium

Weinbergschnecke wendet auf einem dünnen Ast.
To be able to turn on a thin branch, the snail must be well
aware of its position in space. [RN]

Where their path leads them, snails know only few limits. They are able to crawl along the thinnest of branches backside-down, if it is possible, or necessary. Turned on its back, the snail will try to return to its normal state by moving its foot. At a branch's end, it will perform searching motions with its foot to find another surface to crawl on.

The assumption is allowed, that a snail, to be able to achieve those things, must be aware of its position in space. That is possible because of the snail's organs of equilibrium, the statocysts. Those are fluid-filled capsules in which grains of lime are floating. Inertia will cause them to float towards the capsule's wall, when the snail changes its position. On the capsule's wall, sense hair feel this and a stimulus is caused, which is sent towards the cerebral ganglia by a nerve.

Senses of Taste and Smell

The senses of taste and smell are chemical senses: Stimuli are caused by certain chemical substances. The sense of taste by nature is a contact sense, because the sense cells get into contact with the substance they taste. The sense of smell, on the other hand, though related to the former, is not a contact sense, as substances are smelled in a distance.

Weinbergschnecke schäumt zur Abwehr.
To protect itself against harmful substances, or if otherwise
disturbed , the snail begins to foam.
Picture: Ingrid Mittelstaedt.

It is well known, that snails and especially slugs are able to find food in considerable distance. They move there in a decisive manner, even without being able to see the food source. In experiments it could be proved, that Roman snails move towards artificial sources of smell, as they do towards natural ones. Mainly in the lips, but also in the smaller and to a lesser extent in the longer tentacles, olfactory sense cells could be found. Additionally, snails are able to perceive olfactory stimuli with the remainder of their body surface, where sense cells are dispersed. They head is most susceptible, the remaining body to a decreasing extent towards the tail.

A Roman snail will move towards a leaf of lettuce, because it can see it, or because it smells like one. If, however, this lettuce leaf has been prepared with an almost smell-less substance, such as acetylic acid, the snail will turn away at once upon contact and begin to foam from disgust – actually a protective reaction to harmful substances.

Senses of Temperature and Humidity

Trockenruhende Weinbergschnecke.
Without the necessary amount of humidity a snail's activity is
soon over. [RN]

The ability to determine changes in temperature and humidity in the surrounding environment is of vital importance to a Roman snail. Depending on surrounding temperature and humidity, snails behave quite different. Active during the early evening hours, when the air is cool and quite moist, they retreat to a hiding place during the day, where they are protected against the heat of the sun and the dryness of the air. There they remain in a dormant state called aestivation and wait for coolness and humidity. Snails will actively avoid dry areas and prefer humid cool ones. This fact is also easily seen in gardens, where slugs approach preferably freshly watered places first.